藤阪てらしま歯科では、0期から始める口腔筋機能療法である
マイオブレイス矯正治療を行っています。小さな子供達には、悪癖と言われている口呼吸や逆嚥下(正しくない飲み込み方)をしている割合が多く、この悪癖が歯並びに影響を与えてしまうリスクにつながります。
矯正の1期治療を行う前に口腔筋機能療法を行うことで、口呼吸から鼻呼吸へ、逆嚥下から正しい嚥下へ改善することが可能です。
また、口腔筋機能療法は、歯並び改善にもなります。
前歯が出ている
前歯がガタガタに生えている
唇が閉じない
下顎が前に出ている
噛むと下の歯が見えなくなる
顎が左右にズレている
子供が口を通して呼吸する習慣がある場合、顎の正常な成長パターンに影響を及ぼすことがあります。この結果、顎のバランスが崩れ、咬合に問題が生じる可能性があります。
口呼吸は睡眠時の空気の流れに障害を与えることがあり、子供が睡眠中に十分な酸素を得ることが困難になることがあります。その結果、睡眠の質を低下させ、日中の集中力や学習効率に影響を与える可能性があります。
口呼吸する子供は、舌の位置が変わることで歯並びに影響を及ぼす可能性があります。
口呼吸は口の中の乾燥を引き起こし、これにより唾液の自浄作用が減少し、むし歯や歯肉病などのリスクが増加する可能性があります。
鼻呼吸は、空気を自然に浄化し、加湿する役割がありますが、口呼吸は空気がそのまま肺に入ってしまうため、病原体や不純物が呼吸器に入り込むリスクが上がります。
赤ちゃんがミルクを飲む頃から歯が生え始めても、治らずにそのままの状態になっている状態です。歯が生え始めたら成人嚥下に移行する必要があります。
舌の正しい位置を覚えることで飲む込む際の逆流を防ぎます。
お口周りの筋力が低いことが逆嚥下につながるので、嚥下反射を強くすることが大切です。
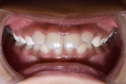
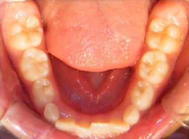
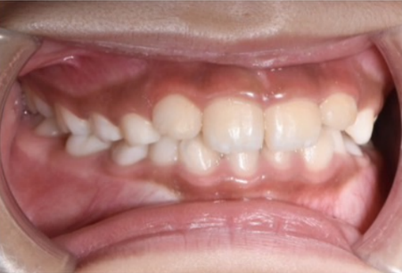
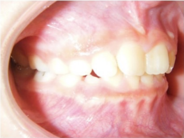
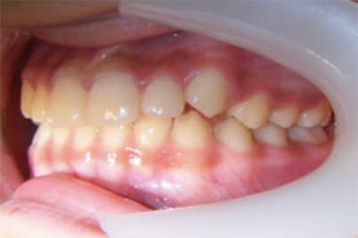
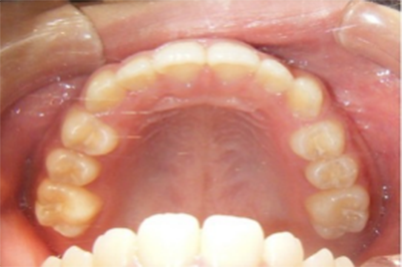
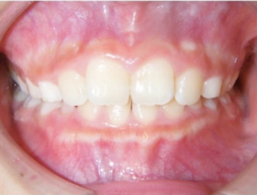
| ご年齢 | 8歳(治療開始) | 治療期間 | 3年5ヶ月 | ||
|---|---|---|---|---|---|
| 性別 | 女性 | ||||
| ご年齢 | 8歳(治療開始) |
|---|---|
| 治療期間 | 3年5ヶ月 |
| 性別 | 女性 |
マイオブレイスは、舌の悪い位置や口を開けて呼吸するというような悪いクセなどを改善します。
マイオブレイスは取り外し可能なので、金属の矯正器具よりもやさしい方法です。日中数時間と寝ている間に使って、自然に歯並びを良くします。
マイオブレイスはお子様の顎がまだ成長している時に(藤阪てらしま歯科では1期治療の前から)使用する矯正治療方法です。
マイオブレイスは取り外せるので、お子様にとっても、歯を磨いたり、歯と歯の間をきれいにするのが簡単です。そのため口の中を清潔に保つことができます。
マイオブレイスは顎の成長を助け、顔のバランスを改善します。
きれいな歯並びと健康的な顎の位置に整うことで全体的な顔の見た目が良くなるからです。
「子どもの歯並びがずれてきている気がする」
「下顎を出してしゃべるクセがある」
「気付いたら口が空いている」
など、お子様の歯並びや悪癖を見つけたタイミングで、
藤阪てらしま歯科までご連絡ください。
矯正相談では担当の歯科医師が、お子様のお口の状態を拝見しながら、今後の改善方法についてお伝えさせていただきます。
お子様の矯正治療について詳しく検査をして治療計画を立案します。藤阪てらしま歯科では、お子様の矯正治療の精密検査料はいただいていません。
矯正治療は、歯科医院とご自宅両方のサポートが必須ですので、
お子様の歯並び改善のために一緒に頑張っていきましょう。
マイオブレイスを上手く使うことができているか、歯並びの状態は改善しているか等、確認させていただきます。
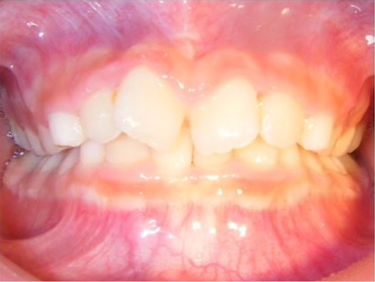
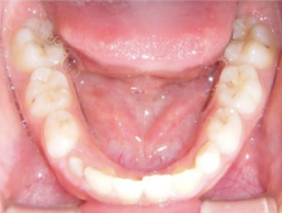
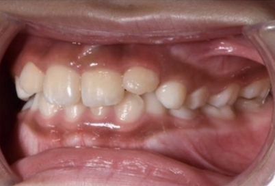
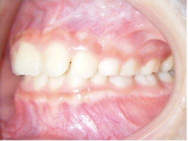
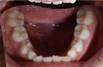
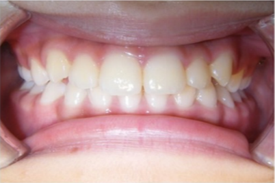
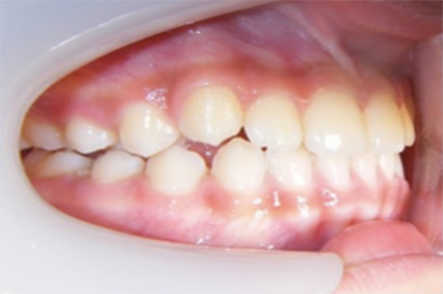
| ご年齢 | 8歳(治療開始) | 治療期間 | 2年 | ||
|---|---|---|---|---|---|
| 性別 | 男性 | ||||
| ご年齢 | 8歳(治療開始) | ||
|---|---|---|---|
| 治療期間 | 2年 | ||
| 性別 | 男性 | ||
入会金
月額
その他オプション
マイオブレイス交換料
ヘッドギア
BWS
※症例により、多少前後する場合があります。
医療費控除は、1月1日〜12月31日までに支払った医療費が10万円もしくは総所得金額の5%の金額(総所得金額等が200万円未満の場合)を上回った場合、一部所得税が還付され、次年度の住民税が減免されるという制度です。
控除を受けるには、確定申告が必要となりますが、高額な自由診療を受けた場合は、大きな金額の還付と住民税の減免を受けることができます。
還付される金額
控除金額
所得税率
減免される住民税の金額
控除金額
10%(一律)
自由診療を受けられた場合、治療費のお支払いに現金のほか、クレジットカード、デンタルローンを使用していただくこともできます。お気軽に受付までお申し付けください。
お子様のお口の状態にもよりますが、早い年齢ですと、4歳位から始めることも可能です。
基本的には、就寝時間と日中は1~2時間程度、装着することをお伝えしています。
夜間の睡眠時に装着して就寝するようにしてください。
マイオブレイスは耐久性がありますが、過度な力を加えると破損する可能性がありますので、注意が必要です。
食事制限はありませんが、破損を防ぐためにもマイオブレイスを装着しての飲食は控えるようにお願いします。
一般的には約2年間程度ですが、マイオブレイスをどれくらい装着できているか、ご家庭でのトレーニングをしっかりできているかが、治療期間に大きく影響しますので、歯科医院だけでなく、ご家庭での取組が大切です。